Affordable Dental Solutions
We are an Australia-based dental care coordination service created to help individuals access ethical, high-quality dental treatment in India with clarity, confidence, and support.
Our work is guided by clinical insight, lived experience, and a strong commitment to patient-centred, transparent care.
Our service is guided by clinical insight and a strong commitment to ethical dental care. One of our founders is an Indian-trained dentist, bringing firsthand knowledge of dental education standards, treatment protocols, and the importance of choosing the right clinical environment.
Through our own lived experience, we became deeply aware of the challenges many individuals face when seeking dental care locally. High treatment costs and lengthy waiting times to access specialist providers made timely care difficult, even when the need was urgent.
Because we were familiar with the system in India and knew where to access high-quality care, we chose to seek treatment there. However, despite knowing the environment, we still encountered challenges navigating appointments, coordination, and logistics. During this process, it became clear to us how valuable a facilitator or care coordinator would have been in simplifying the journey and reducing stress.
This experience highlighted a much broader gap. We realised that for individuals unfamiliar with the system, language, or healthcare landscape, these challenges would be even greater. Many people may not know where to begin, which providers to trust, or how to coordinate treatment alongside travel and recovery.
It was from this understanding that our service was born.
Today, we support clients by acting as a trusted coordinator and guide, connecting them with reputable dental providers and offering structured, end-to-end support. Our aim is to remove uncertainty, provide clarity around treatment and costs, and ensure a well-coordinated experience grounded in professionalism, transparency, and care.


About Us
How We Work
We operate as an independent dental care coordination service, supporting clients to navigate overseas dental treatment with clarity, confidence, and ethical guidance.
We currently partner with a carefully selected dental provider in India chosen for its advanced infrastructure, experienced clinical team, and commitment to ethical, patient-centred care.
Our role is to coordinate communication, logistics, and planning around treatment, travel, and recovery. We do not provide dental treatment or influence clinical decisions, which remain solely between the patient and the treating dental professionals.
All clinical care is delivered by registered practitioners at the partner dental provider.






Our Values...
Accountability & Transparency
We are committed to honesty, accountability, and transparency in everything we do. We ensure that information shared with our clients is accurate, clear, and responsibly communicated, so individuals can make informed decisions with confidence.
High-Quality Dental Treatment
We are committed to supporting access to high-quality dental care by working with dental providers that meet strong clinical, safety, and infrastructure standards. Quality, precision, and patient wellbeing are central to every treatment pathway we help coordinate.
Ethical Standards
Ethical practice underpins our work. We do not promote unnecessary treatments, apply pressure, or prioritize commercial interests over patient wellbeing. All guidance and coordination are grounded in integrity, professional responsibility, and respect for informed choice.
Patient-First Approach
We place patients at the Centre of every decision. We respect individual needs, preferences, and circumstances, and aim to provide supportive, compassionate coordination that priorities comfort, autonomy, and dignity throughout the treatment journey.
Our Role & Scope
Our role is to provide non-clinical coordination and support for individuals exploring dental treatment overseas. We do not provide dental or medical treatment, and we do not influence clinical decisions. All diagnosis and treatment are carried out by registered dental professionals at the treating facility.
Choosing dental treatment overseas is a significant decision. Our aim is to support that decision with clarity, integrity, and care — so individuals feel informed, supported, and confident at every step.


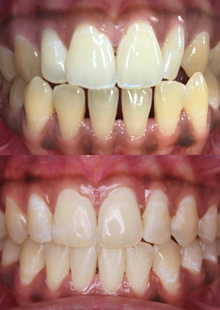
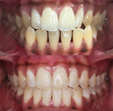
Gallery
Snapshots from our patients' journeys and treatments.








Our Location
Based in Australia, we coordinate your dental journey to India with care and ease.
Address
Sydney, Australia
Hours
Mon-Fri 9am-5pm
Affordable Dental Solutions made my trip stress-free and my smile brighter than ever!
Emma R.
From visa help to local tours, their care went beyond dental treatment.
John K.
